Se encuentra en etapa preclínica y será de administración nasal. En los ensayos in vivo mostró resultados positivos en la disminución de … Más
Etiqueta: Mal de Chagas
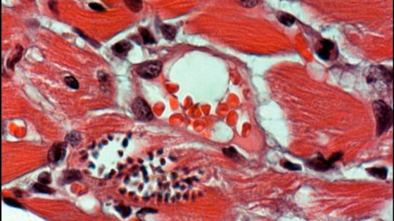
CONICET: Identifican fármaco que podría prevenir los síntomas cardíacos de la enfermedad de Chagas
Un medicamento, que se utiliza actualmente en la clínica médica para disminuir los niveles de triglicéridos y colesterol, mejoró la … Más
Especialistas del CONICET desarrollan una vacuna para prevenir y tratar la enfermedad de Chagas
El proyecto, dirigido por Emilio Malchiodi, fue distinguido con el Premio César Milstein 2023 a la Investigación en Biotecnología con … Más
Tras nueve años de trabajo, logran frenar la transmisión humana del Chagas en un municipio chaqueño
Para llegar a ese resultado especialistas del CONICET y de la UBA implementaron una estrategia de eliminación de la vinchuca … Más
Enfermedad de Chagas: un desafío multidimensional
Especialistas del CONICET realizan diversos aportes para prevenir infecciones, tratar a los pacientes y erradicar el vector de esta dolencia … Más
Estudian a grupos indígenas del Amazonas que desarrollaron resistencia genética al mal de Chagas
A pesar de ser endémica en la región, la enfermedad es rara en las poblaciones nativas. Por Alcides Blanco para … Más
Macri suspendió tareas de control y combate contra el mal de Chagas para ahorrar recursos
La semana pasada ordenaron suspender la campaña preventiva contra la erradicación y control de la vinchuca. Por la Redacción de … Más
